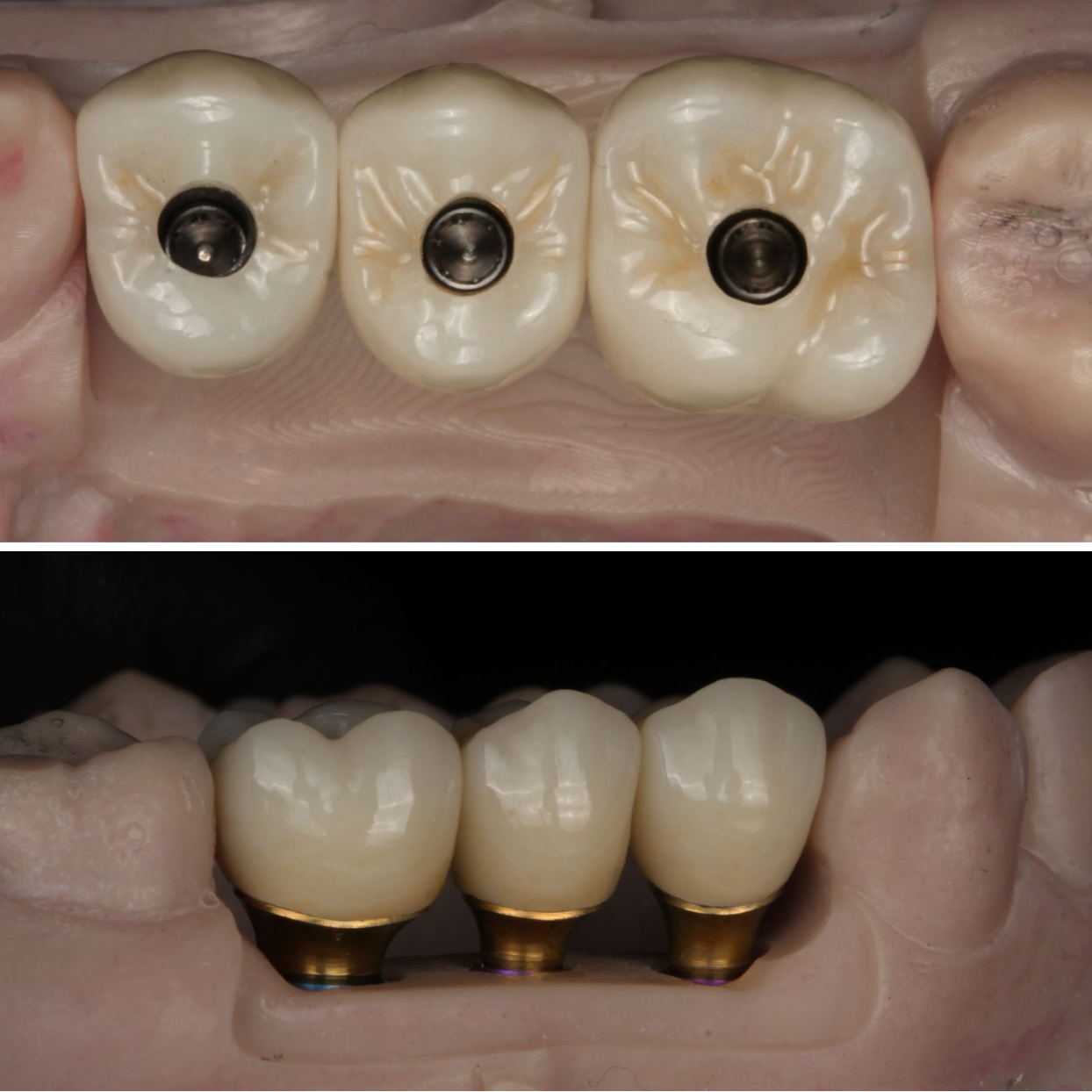
This is a question I get asked frequently — by colleagues, by residents, and by referring dentists. Should we be splinting adjacent implants? The short answer is that in the majority of clinical scenarios, no. And the evidence is clear on this.
For decades, the default teaching in prosthodontics has been to splint adjacent implants to “distribute occlusal forces” and “protect marginal bone.” It sounds logical. It makes biomechanical sense on paper. But when you look at the clinical evidence — including high-level evidence such as randomized controlled trials, systematic reviews, and meta-analyses — the data does not support routine splinting of adjacent implants.
